Dentsply Sirona 3D Röntgen

De röntgenapparatuur van Dentsply Sirona is op te delen in twee families. De Orthophos-familie biedt hoogwaardige en veelzijdige kwaliteit. De Axeos-familie is ontwikkeld voor praktijken met een breed en complex behandelaanbod. De Dentsply Sirona Sidexis software geeft u de tools die u nodig hebt om de klinische situatie accuraat te beoordelen en de diagnose en het behandelplan met vertrouwen op te zetten. Ontdek hieronder de verschillen en vind de oplossing die bij uw praktijk past.

Orthophos familie

Orthophos S 3D/ SL

Dentsply Sirona Orthophos S 3D

De hybride allrounder

Dentsply Sirona Orthophos SL

Power performer

Geschikt voor
volumes van
Ø5 x 5 cm
tot Ø11 x 10 cm

Geschikt voor
volumes van
Ø5 x 5 cm
tot Ø11 x 10 cm

Mogelijkheden

Beeldvormings-
programma’s

Software & tools

Modussen

Positionering

Resolutie

Technologie

Ideaal voor

Add ons

Mogelijkheden


Beeldvormingsprogramma’s


Software & tools


Modussen

 

Positionering


Resolutie


Technologie


Ideaal voor


Add ons

Mogelijkheden

 


Beeldvormingsprogramma’s

 


Software & tools

 

Modussen


Positionering

 

Resolutie


Technologie


Ideaal voor

 


Add ons

Ontdek hoe u Orthophos in de praktijk kan toepassen!

Axeos familie

Dentsply Sirona Axeos

Het topsegment in specialistische systemen

De Orthophos SL beschikt over een ruim en flexibel Field of View (FOV) en is ontworpen voor praktijken met een breed of complex behandelaanbod, zoals implantologie en chirurgie. Dankzij de grotere volumemogelijkheden is het systeem bovendien uitermate geschikt voor volledige boog‑ en arch‑planning.

Dentsply Sirona Axeos biedt...

Axeos functies in beeld

HD X-ray van Ø17 x 13 cm

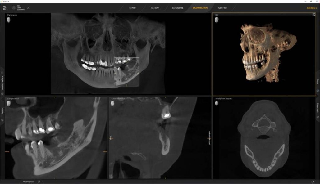
Sidexis software

Röntgensoftware die klinische efficiëntie en bruikbaarheid bevorderd

Sidexis biedt alle tools voor optimale patiëntenzorg. Dankzij de koppeling met het DS Core‑platform werkt u efficiënter en kunt u eenvoudig samenwerken met collega’s. Daarnaast krijgen patiënten beter inzicht in hun mondgezondheid en mogelijke behandelopties.

Visualiseer en diagnostiseer uw 2D- en 3D- röntgenfoto’s binnen dezelfde software, met een holistische aanpak

Betrek patiënten bij hun behandeling met een geprint overzicht of een visuele presentatie in de lightbox- of vergelijkingsmodus

Besteed onder andere de planning van implantaten uit via Simplant Planning Services zodat u zich kunt concentreren op de plaatsing

Werk met verschillende soorten patiëntenbestanden (röntgenfoto’s, intraorale scans, foto’s en pdf’s)

Door uw DS Core‑account te gebruiken werkt u eenvoudiger samen aan patiëntcasussen en slaat u bestanden veilig op in de cloud

Toegang tot patiëntbestanden via een webbroser en Sidexis iX app, waar en wanneer dan ook

Ontdek hoe je Sidexis gebruikt!

Hulp nodig? Houd onze Plandent College pagina in de gaten voor software cursussen!

Ervaringen van onze klanten

Mondzorg Prinsenstad
Mondzorg Prinsenstad
Mondhygiënist
Top service! Aantal maanden geleden Planmeca stoel gekocht en nog steeds blij mee! Wij zijn geholpen door Kasper van den Hoed, alles ging lekker vlot en goed, bedankt!
Dental Care Utrecht
Dental Care Utrecht
5 Tandartspraktijken
Top bedrijf, al 40 jaar zijn wij een blije klant. Willem Prins en zijn team zijn helder en komen beloftes na.
Jan Stelzer
Jan Stelzer
Tandartspraktijk
Zeer deskundige advisering bij de aanschaf van behandelunits en het inrichten van praktijken. Echt aan te bevelen.
Kawa
Kawa
Deskundig en meedenkend personeel. Komen afspraken goed na en een prettige communicatie. Dankjewel Casper en Mark!
We Smile Tandartsen
We Smile TandartsenTandartspraktijk
Zeer tevreden over Plandent en PlanOrder Twaalf maanden geleden hebben wij onze volledige praktijk laten inrichten door Plandent – en we hebben er geen dag spijt van gehad. Alles is tot in de puntjes verzorgd en precies afgestemd op onze wensen. De samenwerking verliep soepel en professioneel. Daarnaast werken we inmiddels ook met PlanOrder. Wat een uitkomst! Het systeem is eenvoudig in gebruik en bespaart ons enorm veel tijd. Geen verkeerd bestelde producten meer en altijd direct overzicht van wat er in bestelling staat, recht vanuit onze voorraadkast. Binnen enkele seconden de juiste producten bestellen is echt een verademing. Kortom: een investering waar we elke dag weer blij mee zijn. Plandent en PlanOrder zijn een echte aanrader
Praktijk Hoffelijke Mondzorg
Praktijk Hoffelijke MondzorgMondhygiënist
Dank Team Plandent. Van het ontwerp van de unit tot het plaatsen en kleingoed, van A tot Z geleverd door Plandent.
Dental Dynamic
Dental DynamicTandartspraktijk
Wij hebben nu sinds een tijdje het PlanOrder systeem. Wij maakte al gebruik van een ander tag systeem maar dit was verouderd. Nu met het nieuwe systeem van PlanOrder is het bestellen erg gemakkelijk. We verzamelen alle tags van de producten die besteld moeten worden. Door de tags te scannen met de iPad worden de producten in de winkelmand gezet. Hierin kun je gemakkelijk en duidelijk zien hoeveel producten er besteld worden, de aantallen aanpassen en zien of het product op voorraad is. Verder kun je alle items die Plandent beschikbaar heeft terug vinden op de iPad. Deze kun je gemakkelijk bestellen of eventueel een tag voor aanvragen. Wij zijn erg enthousiast over het systeem van PlanOrder.
Maarten van Loveren & Wai Yee Lo
Maarten van Loveren & Wai Yee LoTandartsenpraktijk WML
Nadat we besloten hadden om de praktijk te verhuizen kwamen we bij Plandent uit. Vanaf de eerste kennismaking tot aan het moment dat de praktijk opgeleverd werd zijn wij zeer te spreken over Plandent. Na het aanhoren van onze wensen werd er een ontwerp voor de praktijk gemaakt. Deze voldeed bijna in één keer aan onze verwachtingen. De aanpassingen die we graag doorgevoerd wilden hebben werden zonder problemen en supersnel doorgevoerd in het ontwerp van de praktijk. De installatie van de technische ruimte verliep ook vlekkeloos en wij zijn zeer content met onze nieuwe KaVo units. Sander en Willem, heel erg bedankt voor jullie inspanningen en deskundige adviezen! Onze praktijk is prachtig geworden.

Nieuwegein

Haren